Salud
El detalle que pocos conocen para combatir el sarro dental
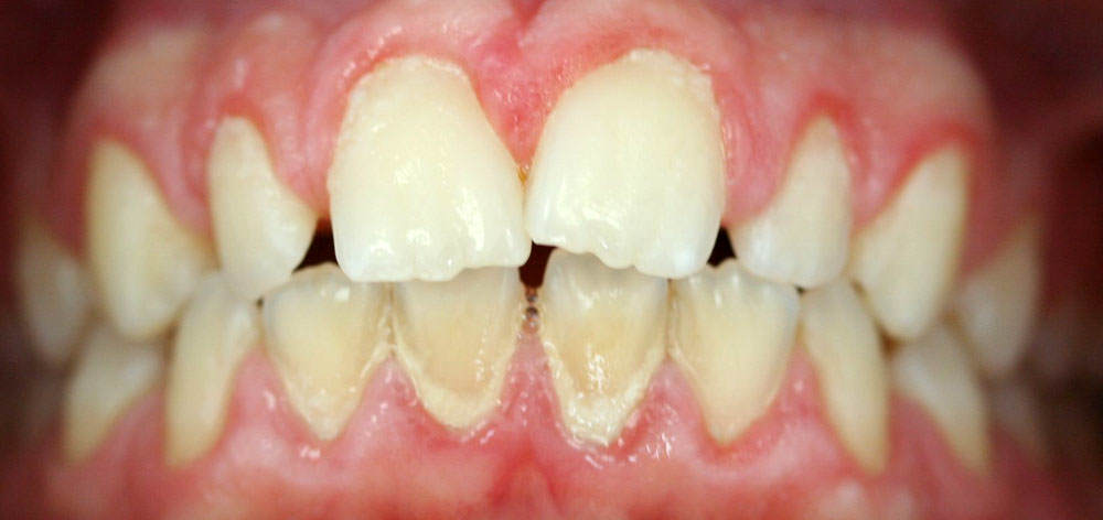
Las mejores tecnicas para limpiar el sarro de los dientes, con un tratamiento que logra eliminar y blanquear tus dientes en tan SOLO 3 minutos.

Una sonrisa deslumbrante puede abrir muchas puertas, pero el sarro dental puede arruinar esa impresión. Este problema común no solo afecta la estética, sino que también puede perjudicar tu salud bucal. ¿Sabías que hay trucos caseros que podrían transformar tu sonrisa? A continuación, te revelamos métodos que podrían cambiar tu rutina de higiene dental para siempre.
¿Por qué el sarro es un problema?
El sarro se forma cuando la placa bacteriana se solidifica en los dientes. Esto no solo provoca un aspecto amarillento, sino que también puede llevar a problemas más serios si no se trata adecuadamente. Aunque la higiene dental es crucial, muchos buscan soluciones rápidas y efectivas en casa.
El truco que pocos conocen para limpiar el sarro
Si bien la visita al dentista es fundamental, existen algunos trucos caseros que pueden ayudarte a mantener tu sonrisa. Aquí te compartimos algunas opciones que podrías considerar, pero recuerda que siempre es mejor consultar a un profesional antes de probar algo nuevo.
Bicarbonato de sodio: un aliado inesperado
Este ingrediente común en la cocina puede ser un gran aliado. El bicarbonato de sodio ayuda a combatir la placa bacteriana y puede mejorar el pH de tu boca. Sin embargo, es importante usarlo con precaución.
