El aceite de bebé, conocido por sus propiedades hidratantes, y el huevo, rico en proteínas y nutrientes esenciales, se unen para formar un tratamiento de belleza...
¿Te has preguntado por qué tu piel no luce como esperabas? Un pequeño cambio en tu rutina podría ser la clave. En este artículo, descubrirás cómo...
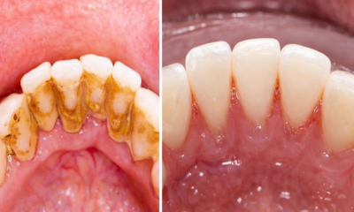
¿Sabías que un pequeño hábito podría estar afectando tu sonrisa más de lo que imaginas? En este artículo, descubrirás cómo evitar problemas dentales comunes y mantener...
¿Te has preguntado alguna vez qué poder oculto tienen los clavos de olor? Esta especia no solo realza el sabor de tus platillos, sino que también...
Te enseñaremos cómo puedes utilizar una mascarilla de café para reducir los poros abiertos y tensar la piel. Esta mascarilla no solo es efectiva para minimizar...
La búsqueda de una piel joven y radiante puede ser un camino lleno de confusiones. Muchos se lanzan a probar cremas antienvejecimiento sin conocer un detalle...
¿Te imaginas que una simple infusión pueda cambiar tu salud de forma radical? Hoy revelamos un secreto que muchos ignoran: el té de hojas de guayaba....
¿Sabías que existe un detalle japonés que podría revolucionar tu rutina de belleza? En este artículo, te mostraremos una mascarilla antiedad que ha dejado a muchos...
Prepárate para transformar tu cabello y tu vida con nuestro método natural, que no solo teñirá tus canas, sino que también nutrirá tu cabello desde la...
¿Sabías que hay un secreto natural para disimular las canas sin recurrir a tintes? En este artículo, te revelaremos un método sorprendente que podría cambiar tu...