Remedios
El detalle que arruina tu sonrisa y pocos notan

¿Sabías que un pequeño hábito podría estar afectando tu sonrisa más de lo que imaginas? En este artículo, descubrirás cómo evitar problemas dentales comunes y mantener una sonrisa deslumbrante. La clave está en identificar esos detalles que a menudo pasamos por alto.
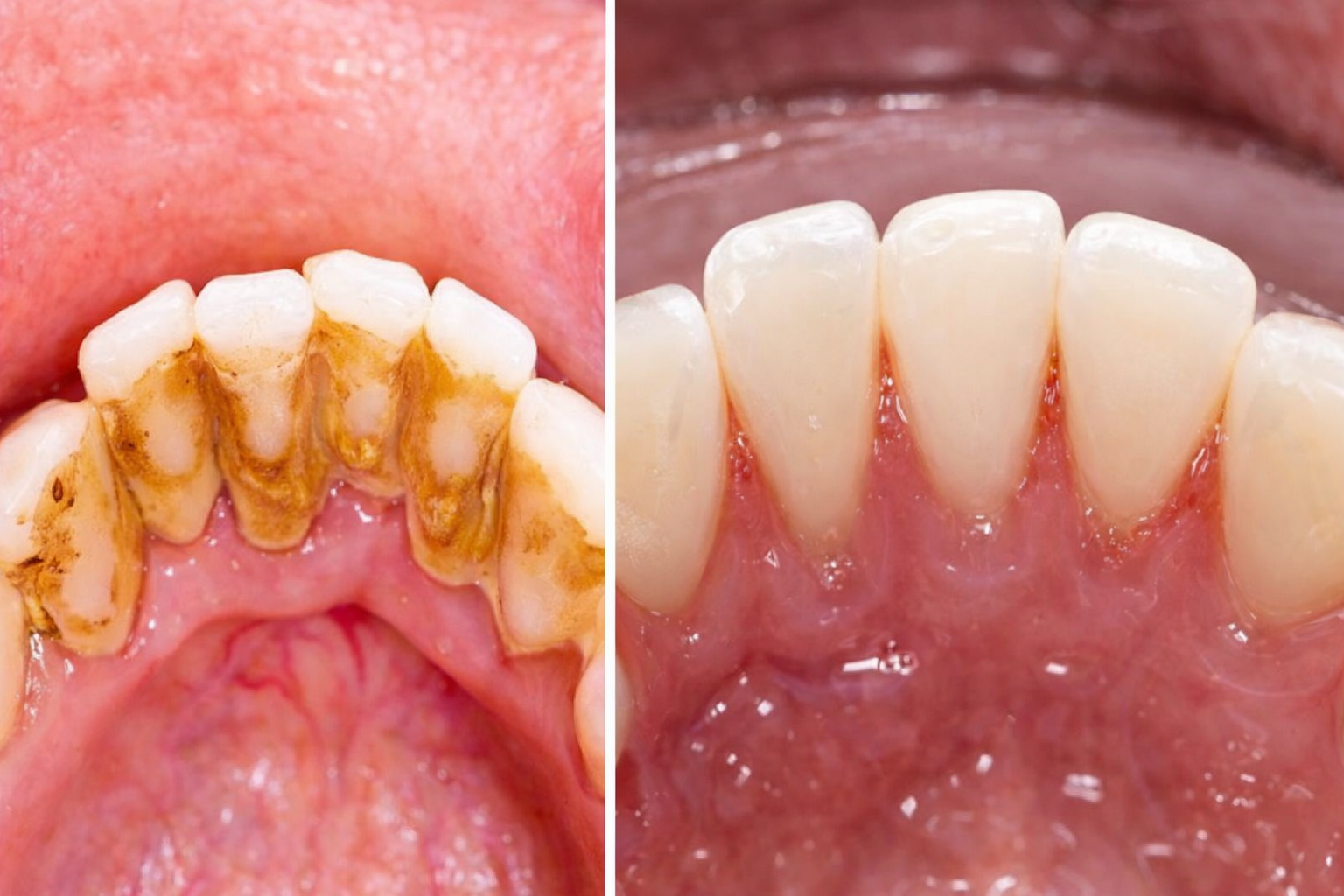
¿Por qué se forma el sarro en tus dientes?
El sarro se genera cuando las bacterias en tu boca se combinan con restos de alimentos y saliva. Esta acumulación puede llevar a complicaciones serias si no se maneja adecuadamente. A menudo, la gente subestima la importancia de una higiene bucal efectiva. ¿Te has preguntado si estás haciendo lo suficiente para prevenirlo?
Lo que no te cuentan sobre las caries dentales
Las caries no son solo un dolor pasajero; son el resultado de una higiene bucal inadecuada y la proliferación de bacterias. La bacteria Streptococcus mutans es clave en este proceso. Si no prestas atención a los primeros signos, podrías enfrentarte a tratamientos dolorosos y costosos. ¿Sabes cuáles son esos signos de alerta?
Un remedio casero que transforma tu rutina dental
Un remedio casero popular es la pasta de bicarbonato de sodio y limón. Esta mezcla es fácil de preparar y puede ayudar a combatir las bacterias y fortalecer tus dientes. Aquí te explicamos cómo hacerlo:

