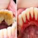
¿Sabías que la forma en que cuidas tu sonrisa puede estar afectando tu salud dental más de lo que imaginas? La acumulación de placa y sarro...
¿Te has preguntado por qué tu sonrisa no brilla como debería? Muchas personas pasan por alto un aspecto crucial de su higiene bucal que puede tener...
¿Te has preguntado si un pequeño error en tu rutina dental está afectando tu sonrisa? La salud bucal va más allá de dientes blancos; se trata...
¿Sabías que un pequeño error en tu rutina dental podría estar afectando tu sonrisa? La salud bucal es fundamental, pero muchos pasan por alto un aspecto...
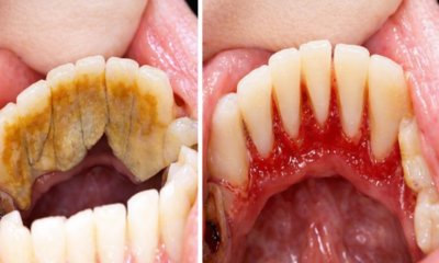
La salud bucal es fundamental, pero hay un pequeño cambio que puede revolucionar tu rutina diaria. La acumulación de placa y sarro es más común de...
¿Sabías que un pequeño descuido puede afectar drásticamente tu sonrisa? La acumulación de sarro y placa dental es un problema común, pero la mayoría de las...
La salud dental es fundamental, pero hay un pequeño error que muchos cometen y que puede afectar su sonrisa. Si sientes que tu higiene bucal no...
¿Te has preguntado por qué tu sonrisa no brilla como debería? La acumulación de sarro es un problema común que, si no se maneja adecuadamente, puede...